PAIN CARE CLINIC
Mobile No. +91-9820877099 / +91-9320877099
Trigeminal neuralgia is unilateral facial pain over the distribution of one or more divisions of Trigeminal nerve.
 
The pain is characterized by sharp, shooting or “electric shock” like and severe to excruciating in intensity lasting frm a few seconds to a few minutes and keeps recurring at a variable frequency, leaving a pain free interval.



It is more common in middle and later age group, more in females and more on the right side than left side with more involvement in mandibular region and least involvement in ophthalmic region.

Pain usually triggered by “light touch”, a breeze of wind or a splash of wind on the face, by act of swallowing or chewing food or liquid.

Pains can be so severe as to induce a patient to commit suicide. Pains of lesser intensitymay lead the patient to a psychosis, ruin an academic career and can even wreck a marriage.



Simple way to see the distribution of the branches of trigeminal nerve is to draw a linefrom tragus to tragus along the vertex, one from tragus to angle fo eye and another line from tragus to angle of mouth. Upper zone is called Ophthalmic (V1), middle zone is called Maxillary (V2) and lower zone is called Mandibular (V3).

Pain from Trigeminal neuralgia needs to be distinguished from pains arising from the structures in the surrounding areas.

Dental cause has to be ruled out thoroughly. Pains come from nasal and paranasal sinuses. Ocular or orbital pains also to be ruled out. Vascular pain or migraine, cluster headache or tumor in brain has to be ruled out thoroughly.



CT scan brain, MRI or MR angio are the most important investigation to rule out tumor in brain or vascular malformation or a causative vascular loop on Trigeminal nerve responsible for pain.

70 to 80% patients respond well with medical treatment. Carbamazepine (Tegretal) is the drug of choice and when it fails to act then some other drugs like, Gabapentin, Baclophen, etc can be used.
 
DIFFERENT TYPES OF TREATMENT CAN BE GIVEN WHEN MEDICAL THERAPY IS NOT SATISFACTORY.
 
  • Microvascular Decompression (MVD)
  • Radiofrequency Thermocoagulation of Trigeminal root
  • Glycerol injection
  • Baloon microdecompression
  • Gamma knife radiosurgery




Every technique has its own advantage and disadvantage. It has to be decided a specific technique based on personal experience, proficiency and safety and economicconsideration of the patient.

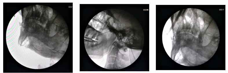
Radiofrequency Thermocoagulation (RFTC) is one of the most effective day-care procedure.It is done in operation theater under radiological guidance under local anesthesia and mild sedation. With 80 to 90% pain relief it has some drawbacks like, complain of numbness, and unusual sensation on the pain free zone.



After the procedure patient is put on Pregabalin, Vit B12 or B-complex and tranquilizer as per requirement. They may or may not require repetitions of the procedure.

The symptoms settle after a period of time and need mental reassurance and urging the patient to divert the mind in other pleasant occupations like music, nature, etc.



 
"Radiofrequency ablation therapy"
 
VIDEO
 
 

Address

Vinamra Swaraj Hospital

On Appointments

Sector 11, Vashi, Beside Shiv Sena Sakha

Contact for Telephonic/Video Consultation

+91 9320877099(WA) / +91 9820877099

Query Form

Featured In

Copyrights © 2021 All Rights Reserved.